Новый год и Рождество

Фото носит иллюстративный характер. Из открытых источников.

Аневризма подколенной вены является редким заболеванием: на сегодняшний день в медицинской литературе описано немногим более 200 ее случаев. Патология обычно протекает бессимптомно, часто является случайной находкой, однако может иметь серьезные клинические последствия, в том числе тромбоз глубоких вен, тромбоэмболию легочной артерии (ТЭЛА) и, как следствие, летальный исход.

 

О клиническом подходе к лечению пациентов с аневризмой подколенной вены рассказал Иван Климчук, заведующий отделением сосудистой хирургии 4-й ГКБ имени Н. Е. Савченко Минска, главный внештатный ангиохирург Минздрава, кандидат мед. наук, доцент.

 

Редкая патология

 

Иван Климчук— Венозные аневризмы встречаются достаточно редко из-за низкого давления в системе полой вены. При проведении УЗИ у пациентов с симптоматикой венозной недостаточности частота встречаемости составляет 0,1–0,2 %. Если экстраполировать данные литературы на население Беларуси, то ожидаемое количество пациентов в нашей стране около 2 тысяч человек. Патология редкая и плохо изученная, ранняя ее диагностика затруднена, международные либо национальные клинические рекомендации и стандартные протоколы лечения отсутствуют. Но в то же время венозная аневризма подколенной зоны является доказанным источником ТЭЛА, — обращает внимание эксперт.

 

Ранняя диагностика данного заболевания и своевременное оперативное лечение позволяют предотвратить развитие тромбоза аневризмы и ТЭЛА, а также компрессионного синдрома и неврологических нарушений.

 

Средний возраст пациентов с диагностированной аневризмой подколенной вены варьируется от 45 до 59 лет.

 

Патогенез

 

Возможные механизмы образования включают дегенеративные изменения в стенке сосуда, воспалительные процессы и высокое венозное давление. Повышение давления и неравномерное распределение нагрузки вызывают структурные изменения сосудистой стенки: мышечные и эластичные волокна разрушаются или заменяются соединительной тканью. В результате тонус стенки снижается, и вена образует локальное расширение или выпячивание.

 

Классификация и факторы риска

 

Венозные аневризмы бывают первичные (наследственные) либо вторичные (приобретенные). Первичные чаще всего морфологически веретенообразные (стенка вены расширяется со всех сторон), протекают в течение длительного времени, имеют более благоприятный прогноз и требуют динамического наблюдения.

 

Вторичные аневризмы чаще всего мешковидные (стенка вены выпячивается с одной стороны), могут возникнуть в любом возрасте в результате действия провоцирующего фактора:

 

  • травмы,
  • поствоспалительных явлений,
  • опухоли,
  • синдрома компрессии глубоких вен.

 

Диагностика

 

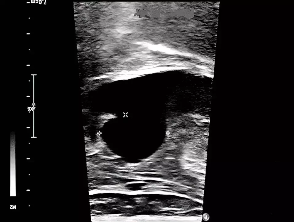
Рисунок 1. УЗ-верификация аневризмы подколенной вены.Основным методом диагностики аневризмы подколенной вены является ультразвуковая верификация, позволяющая выявить патологию на ранних этапах, оценить диаметр подколенной вены, ее анатомические изменения и характер кровотока (см. рис. 1).

 

— В качестве дополнительного метода диагностики (для выработки хирургического подхода, детализации патологии) используется КТ- или МР-ангиофлебография, — объясняет Иван Климчук. — Безусловным плюсом данного метода является возможность одномоментной оценки русла легочной артерии с целью подтверждения либо исключения ТЭЛА.

 

Методы лечения

 

Лечение аневризмы подколенной вены зависит от ее размера, наличия симптомов и риска разрыва. Оно может включать в себя динамическое наблюдение, когда периодически пациенту назначаются неинвазивные исследования и оценивается динамика роста аневризмы. При наличии показаний (профилактика тромбоза глубоких вен, ТЭЛА, боль, неврологические нарушения) показано хирургическое лечение.

 

Иван Климчук:

 

Выбор хирургической опции зависит от того, с какой морфологией аневризмы мы имеем дело. При веретеновидной аневризме подколенной вены применяется резекция с анастомозом либо шунтирование с заменой аутовены. В случае мешковидной аневризмы чаще всего используется резекция с перевязкой либо боковая аневризморафия с пластикой или без, что выполняется чаще всего с целью сохранения кровотока по глубокой венозной системе.

 

В послеоперационном периоде и в ходе наблюдения данных пациентов для лечения и профилактики тромбоза и препятствия возникновению осложнений необходима антикоагулянтная терапия. А адъювантная терапия микронизированной очищенной флавоноидной фракцией (МОФФ) улучшает течение послеоперационного периода благодаря комплексности действия, в том числе противовоспалительному и венотонизирующему эффекту.

 

Клинический случай № 1

 


Женщина, 33 года, попадает по скорой медицинской помощи в реанимацию одного из стационаров Минска с клинической картиной fs444s668f66fРисунок 2. КТ-флебография с разных ракурсов детализирует хирургическую анатомию аневризмы.тромбоэмболии легочной артерии. Симптомы: выраженная одышка, слабость, чувство нехватки воздуха, тяжесть в области шеи, першение в горле. Тромбоэмболия подтверждена, проводится тромболизис, пациентке назначается антикоагулянтная терапия.

 

В течение последующего полугода она трижды с подобной клинической картиной попадает в стационары Минска, проходит полный курс обследования с консультациями всех возможных заинтересованных смежных специалистов — гематолога, кардиолога, ревматолога, хирурга, гинеколога, ангиохирурга, а также все доступные инструментальные методы исследования, в том числе ультразвуковое сканирование венозных бассейнов. Однако предполагаемый источник тромбоэмболии не установлен.

 

В ходе гематологического обследования выявлена гетерозиготная тромбофилия, ассоциированная с высоким уровнем VIII фактора свертывания крови и наследственным дефицитом XII фактора свертывания крови со вторичной недостаточностью фибринолиза. Во время третьей госпитализации по поводу рецидива ТЭЛА в ходе выполнения ультразвукового исследования вен нижних конечностей пациентка из положения лежа переводится в ортостаз и выявляется мешковидная аневризма подколенной вены с грибовидным выступом 29×34 мм (лежа — 15 мм) с пристеночным тромбообразованием. Дообследуют пациентку с помощью КТ-флебографии, которая детализирует хирургическую анатомию аневризмы (см. рис. 2). Подтверждается пристеночный тромбоз аневризматического мешка.

  

lkouvyyyyФото 1, 2. Выполнена резекция аневризматического выпячивания с пластикой дефекта аутовенозной заплатой из малой подкожной вены.В плановом порядке пациентке под спинальной анестезией задним доступом в проекции подколенной ямки выполнена резекция аневризматического выпячивания с пластикой дефекта аутовенозной заплатой из малой подкожной вены; стенка подколенной вены с пристеночным тромбозом резецирована (см. фото 1 и 2). Тромботическая чаша аневризмы представлена на фото 3.

 

ris6 14 gigapixel low resolution 2xФото 3. Тромботическая чаша аневризмы.Послеоперационный период проходил без осложнений. В стационаре пациентке назначены низкомолекулярные гепарины в лечебной дозировке. На 12-е сутки швы сняты, пациентка выписана на амбулаторный этап лечения. Рекомендовано продолжить антикоагулянтную терапию  (ривароксабан 20 мг/сут) с последующим возможным снижением дозы. В качестве адъювантной терапии назначена МОФФ в стандартной дозировке (1 000 мг/сут 2 месяца дважды в год).

 

УЗ-контроль через 3, 6, 12 и 18 месяцев после операции не выявил признаков тромбоза либо повторной аневризматической трансформации в зоне реконструкции.

 

Клинический случай № 2

 

Женщина, 57 лет, первично обратилась с жалобами на периодические боли, чувство дискомфорта, распирания в подколенной ямке справа. Также она обращалась к неврологам по поводу онемения переднелатеральной поверхности голени и изменения походки. Указанные жалобы длились у пациентки около года. Из анамнеза: около 10 лет назад ей выполнена эндовенозная лазерная коагуляция большой подкожной вены справа. Периодически принимала венотонизирующие препараты.

 

paiicyifc5Рисунок 3. Аневризма подколенной вены диаметром 32×42 мм на УЗИ.По данным УЗИ выявлена аневризма проксимальной части подколенной вены диаметром 32×42 мм, с турбулентным кровотоком в полости аневризмы и эффектом спонтанного контрастирования (см. рис. 3).

  

lb8808v77Фото 4, 5. Выполнена резекция стенки аневризмы с пластикой дефекта подколенной вены биологической заплатой отечественного производства.Принято решение о хирургическом лечении. Пациентке выполнена спинальная анестезия, выбран S-образный доступ к правой подколенной ямке. Проведена резекция стенки аневризмы с пластикой дефекта подколенной вены биологической заплатой отечественного производства «Биокард» (см. фото 4 и 5). При пуске кровотока вены хорошо наполнились.

 

Из особенностей операции: в верхней части доступа визуализирован седалищный нерв в месте разделения на большеберцовый и малоберцовый нервы, которые для выделения аневризмы были отведены. Из окружающих тканей с выраженным перипроцессом выделена хроническая аневризма подколенной вены 45×35 мм.

 

В послеоперационном периоде подтверждены проходимость зоны реконструкции и отсутствие тромбоза. Однако пациентка предъявляла жалобы на отсутствие активных движений (разгибания) в правом голеностопном суставе. Женщина была осмотрена неврологом, выполнена электронейромиография и диагностирована компрессионная ишемическая нейропатия правого малоберцового нерва с выраженным периферическим парезом разгибателей стопы. С целью оценки анатомической целостности указанного нерва было выполнено ультразвуковое исследование, которое подтвердило его анатомическую состоятельность и целостность.

 

— Последовал довольно напряженный период лечения с подключением неврологов, специалистов физиотерапии и иглорефлексотерапии. И только к концу трехмесячного периода наблюдения у пациентки на фоне адекватной всеобъемлющей терапии восстановились движения и чувствительность в стопе в полном объеме. В настоящее время у нее сохраняются незначительные парестезии по наружной поверхности голени после физической нагрузки. Контрольные УЗИ, выполненные в срок 3 и 6 месяцев, подтвердили проходимость подколенной вены с нормальными показателями кровотока, — поясняет врач.

 

С целью профилактики тромботических изменений в зоне реконструкции пациентка принимает ривароксабан в дозировке 10 мг в день, а также МОФФ в стандартной дозировке.

 

Иван Климчук:

 

Помимо хорошо изученных вопросов флебологии есть небольшая когорта пациентов с серьезной патологией глубокой венозной системы и угрозой развития ТЭЛА. И ведение этих пациентов всегда является определенным вызовом для врача.

 

Решение о хирургическом лечении должно приниматься взвешенно на основании методов обследования, анализа осложнений, которые уже развились у пациента, и оценки рисков, которые могут возникнуть в будущем. А сама хирургия этой зоны не может быть окончательно стандартизирована и является строго индивидуальной.